下腿骨骨折(脛骨骨折、腓骨骨折)の基礎知識 point 下腿骨骨折(脛骨骨折、腓骨骨折)とは すねの骨は脛骨と腓骨の2本からなりますが、下腿骨骨折はそのうち一方または両方が骨折することで、交通事故やスポーツ、転倒が原因で起こることが多いです。左足首の骨折。 過去に足首を捻挫または骨折をして、治ってからも予防のためにサポーターを着用していませんか? サポーターを着用していると捻挫の予防になるかもしれません。しかし、時に逆効果になってしまう場合もあります。 &n交通事故の被害に遭い、脛骨骨折や腓骨骨折の怪我を。 その後、もしも後遺症が残ってしまったとしたら。 これからも長く続く治療やリハビリの生活では、 脛骨骨折・腓骨骨折から回復するために支払う治療費 怪我をしたことや後遺症が残ったことによる精神的苦痛に対する慰謝料 将来
右腿腓骨骨折图 第1页 要无忧健康图库
左腓骨骨折 看護
左腓骨骨折 看護-脛骨疲労骨折に続いて腓骨疲労骨折をご紹介します。 下腿の疲労骨折で脛骨ほどは多くないですが、 なかなか痛みがとれなくて、 後でレントゲンをとってみると疲労骨折だったと判明することがあります。 このページでは、実際どんな疾1 .脛・腓骨々幹部開放性骨折とは 交通事故が原因で、脛・腓骨々幹部開放性骨折という診断名がつくケースがあります。 これは、足の腓骨や脛骨の骨折の症状の 1 種です。 医学的には、イラストに示す通り、𦙾骨の中で、脛骨顆部の最大横径(円)に含まれる部分を「近位端」、𦙾骨遠位


西班牙神医为巴西立功铁卫腓骨骨折2个半月踢热身赛 腾讯网
足の捻挫をしたと言っても、様々な怪我があります。 今回ご紹介するのは「腓骨遠位端部で起こる骨折(斜骨折)」です。 この骨折は、骨折だけでなく、靱帯も傷めてしまうことがあります。 別名、「足関節の果部骨折」とも言われていまこんにちは、御所南リハビリテーションクリニックです! 「骨折後のリハビリ」の現状が変わってきていること、ご存知でしたか? 今回はそんな「骨折後のリハビリ」についてご紹介します。 以前は、「ギブスが取れてからリハビリ」を開始するのが一般的でした。 それは、クリニックに脛骨と腓骨の解剖をイラストで分かりやすく解説します 今回は脛骨の骨折を骨幹部、近位端、遠位端に分けて解説します。 スポンサードリンク 脛骨骨幹部骨折について 最初にご紹介するのは 脛骨骨幹部骨折 です。
主訴:左足関節の痛み(骨折後) 来院の約1ヵ月前にスキーをしていて転倒し、救急車で病院に搬送された。レントゲン検査の結果は左 腓骨骨折 で手術を勧められたとのこと。 手術は絶対に嫌ということで、東京の整骨院を受診されました。・回内外転骨折(PA:Pronation abduction) ①三角靭帯の断裂、内果の横骨折 ②前脛腓靭帯の断裂、後脛腓靭帯の断裂、後果の裂離骨折 ③腓骨横骨折、斜骨折 割合では、SE型が最も多い 骨折の部位や程度に応じて荷重開始時期や禁忌となる動作が異なります。足首の骨折をすると "どのくらいで歩けるようになるのか" 気になりますよね。 私も多くの方から、このようなご質問をよく聞かれます。 今回はそんな疑問にお応えし、 足首の骨折後はどのくらいで歩けるようになるのか 、 ちゃんと歩けるようになるのか ご紹介 します。
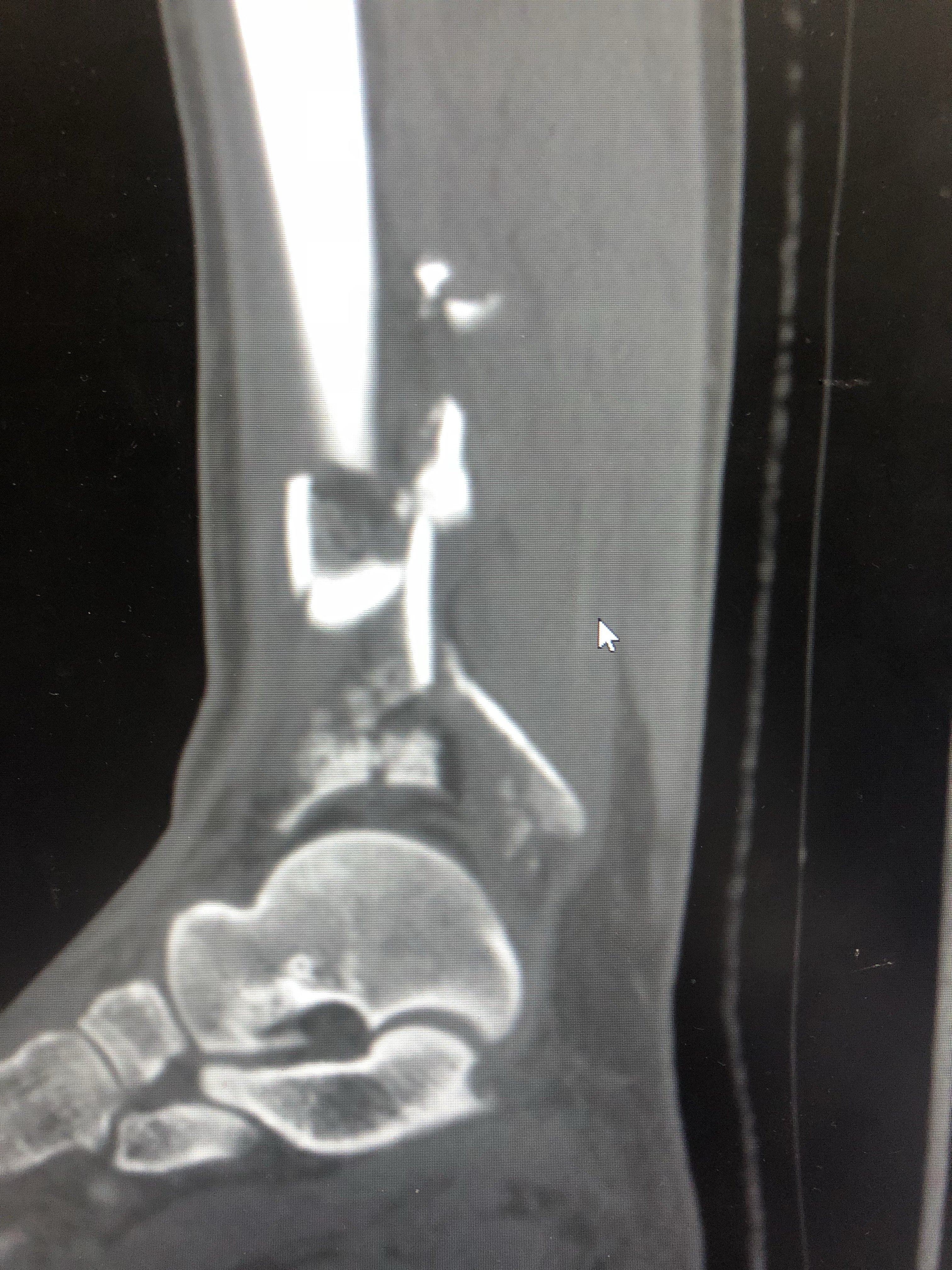
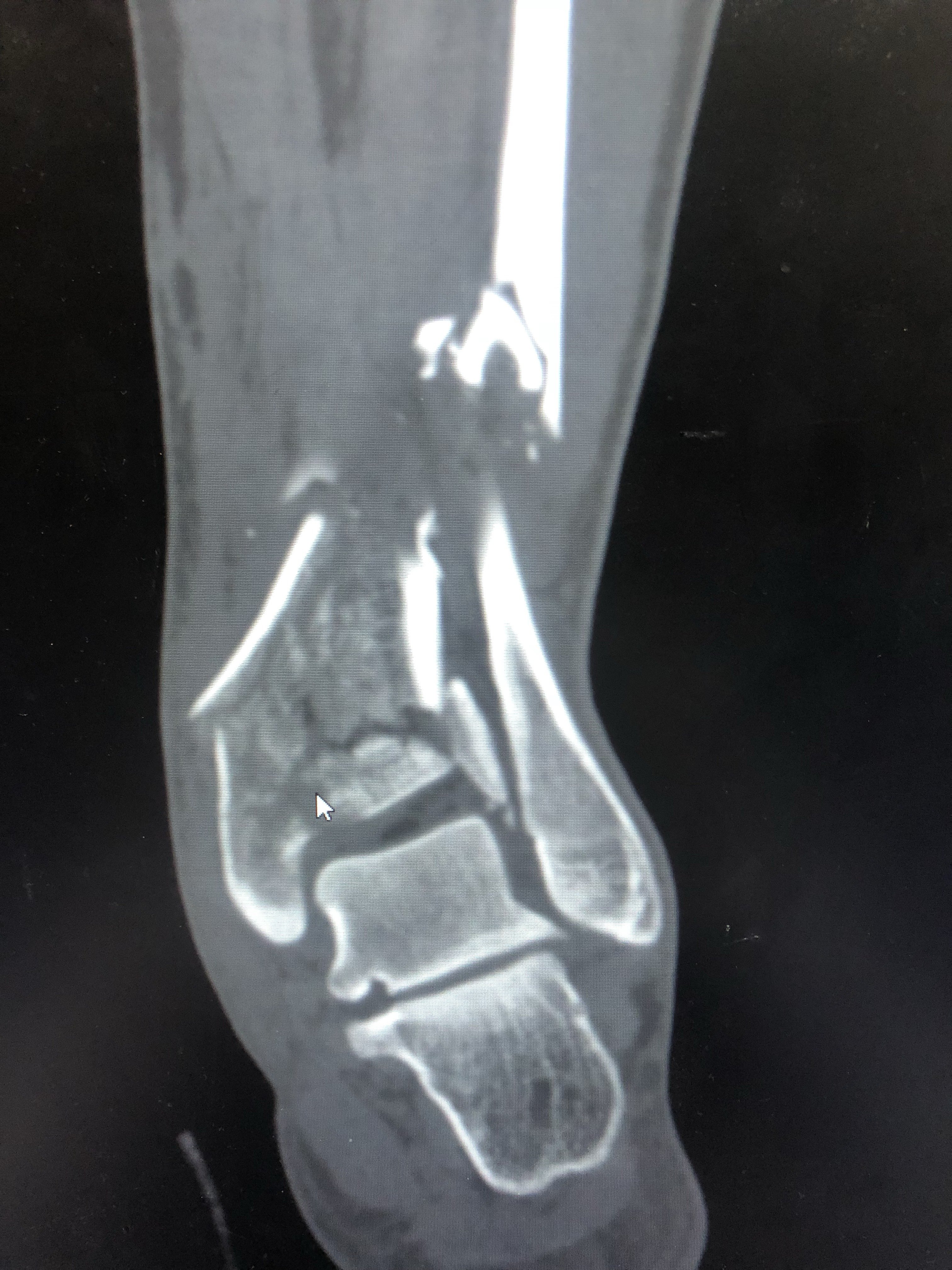
受傷した 画像所見より左腓骨遠位端骨折と診断された前 脛腓靭帯付着部の剥離骨折, 腓骨のらせん骨折および脛骨後 果の骨折からLaugeHansen分類ではSER型stageⅢであった 受傷後9日目にロッキングプレートを用いた骨接合術が施行 された左足首の骨折。 過去に足首を捻挫または骨折をして、治ってからも予防のためにサポーターを着用していませんか? サポーターを着用していると捻挫の予防になるかもしれません。しかし、時に逆効果になってしまう場合もあります。 &n交通事故の被害に遭い、脛骨骨折や腓骨骨折の怪我を。 その後、もしも後遺症が残ってしまったとしたら。 これからも長く続く治療やリハビリの生活では、 脛骨骨折・腓骨骨折から回復するために支払う治療費 怪我をしたことや後遺症が残ったことによる精神的苦痛に対する慰謝料 将来



胫腓骨骨折术前 胫腓骨骨折术后 胫腓骨折术前 胫腓骨骨折 Www Dingjisc Com


应用外固定架做撑开器微创闭合治疗胫腓骨骨折一例分享 骨科咨询电话 柏乡县中心医院 微信公众号文章阅读 Wemp
脛骨と腓骨の解剖をイラストで分かりやすく解説します 今回は脛骨の骨折を骨幹部、近位端、遠位端に分けて解説します。 スポンサードリンク 脛骨骨幹部骨折について 最初にご紹介するのは 脛骨骨幹部骨折 です。// どうも、るいです。 骨折体験記もリハビリ&入院生活編に突入し、いよいよ終盤へ突入致しました。前回までの記事を読んでない方は、こちらから目を通した方がいいかも! wwwruiblogwork wwwruiblogwork リハビリってどんなことするの? これはあくまでも腓骨遠位端骨折のリハビリになります。腓骨筋支帯は腓骨のFibrousridgeに付着し骨膜へと移行しています。腓骨筋支帯がfibrousridgeから離れ、骨膜と一緒に剥離しポーチを形成して腱の支持性が損なわれている場合がほとんどです。 (画像1) 画像1 診断



一例严重的胫腓骨远端粉碎骨折



脚踝腓骨骨折手术后对打篮球有影响吗 虎扑
左腓骨骨挫傷 仕事継続中 7月初めに仕事中に転倒しそうになり踏みとどまりMRI結果にて左腓骨骨挫傷と診断されました。 整形外科担当医からは安静指示は特になく、湿布と弾性包帯固定のみ、上司からは休むかと言われましたが、人員不足のため、足を左足首の骨折。 過去に足首を捻挫または骨折をして、治ってからも予防のためにサポーターを着用していませんか? サポーターを着用していると捻挫の予防になるかもしれません。しかし、時に逆効果になってしまう場合もあります。 &n交通事故の被害に遭い、脛骨骨折や腓骨骨折の怪我を。 その後、もしも後遺症が残ってしまったとしたら。 これからも長く続く治療やリハビリの生活では、 脛骨骨折・腓骨骨折から回復するために支払う治療費 怪我をしたことや後遺症が残ったことによる精神的苦痛に対する慰謝料 将来


左胫腓骨骨折护理查房 Ppt 360文库



腓骨骨折的这100多天 知乎



腓骨骨折康复记录 知乎


坚强的狗子 胫骨和腓骨骨折 哔哩哔哩 つロ干杯 Bilibili



腓骨骨折康复记录 知乎


右腿腓骨骨折图 第1页 要无忧健康图库


右胫腓骨粉碎性骨折的手术 疾病分享 快速问医生


改变旧观念百岁老人也可做骨折手术



好痛痛 醫療與治療 11 膝蓋的脛骨平台骨折 By 羅一強物理治療師


胫腓骨近端粉碎性骨折复位前 复位后模型 医学3d打印案例 医学3d打印应用 医学3d打印机 3d打印在医学上的应用 3d打印成功案例



胫腓骨骨折术后睡姿图 搜狗图片搜索



胫腓骨骨折护理措施 胫腓骨骨折术后 胫腓骨 胫腓骨骨折分型 Www Dingjisc Com



分享30岁大叔腓骨骨折经历 还在休养中 后期持续更新 知乎



胫腓骨螺旋骨折片子图 第1页 一起扣扣网


左胫腓骨骨折左足多发骨折 医联


骨外固定动力化治疗开放性胫腓骨骨折 中国修复重建外科杂志 唯一官网


西班牙神医为巴西立功铁卫腓骨骨折2个半月踢热身赛 腾讯网


两例胫腓骨骨折治疗的选择 刻骨甘露 微信公众号文章阅读 Wemp



股骨远端骨折锁定钢板固定术后14月骨不连 影像资料清晰 连贯 请老师们多指点 骨科专业讨论版 丁香园论坛



车祸 胫腓骨折 请问有什么后遗症吗 该小问短知乎



独行侠侧翼布罗科夫左腓骨骨折归期未定 手机新浪网



左大腿骨骨折 小腿胫腓骨骨折打的钢针现在术后一个月应当如何护理平时应注意什么 知乎



胫腓骨粉碎性骨折后如何康复持续更新 知乎



官方 尤文后卫阿尔维斯确认左腓骨骨折 直播吧zhibo8 Cc


胫腓骨骨折术后康复 胫腓骨骨折术前 胫腓骨折术后 胫腓骨折术后护理 Www Dingjisc Com


儿童胫腓骨骨折的治疗 健康号 微医



病例详情 病例 人卫临床助手 人民卫生出版社


胫腓骨骨折护理措施 胫腓骨骨折术后 胫腓骨 胫腓骨骨折分型 Www Dingjisc Com



股骨胫腓骨骨折 家猫 Prcl S系统内固定手术成功 赵国军医生 Bluesao 佰陆


儿童胫腓骨骨折的治疗 健康号 微医



胫骨腓骨骨折术后锻炼右胫腓骨骨折术后有哪些并发症 后遗症状



胫腓骨骨折 骨科专业讨论版 丁香园论坛


腓骨骨折 ひこつこっせつ 福岡の弁護士による後遺障害 等級認定サポート


腓骨粉碎性骨折 Www Dingjisc Com



胫腓骨骨折术后睡姿图 搜狗图片搜索



右侧胫腓骨骨折一例 病例中心 诊疗助手 爱爱医医学网



腓骨钢板图片 第1页 一起扣扣网



横浜戦で負傷の柏mf戸嶋 左脛腓骨骨折で治療に4 6カ月 相手選手も軽傷であることを願うばかり スポニチ Sponichi Annex サッカー



胫骨髓内钉治疗胫腓骨闭合骨折一例 病例中心 诊疗助手 爱爱医医学网


小腿骨折卡通图片 小腿骨折卡通图片分享


左胫腓骨骨折 医联


一个切口处理股骨干 胫腓骨骨折 甘肃省中医院



一例严重的胫腓骨远端粉碎骨折



左腿腓骨骨折韧带撕裂 手术恢复mark 知乎



小儿胫腓骨骨折保守治疗 病例中心 诊疗助手 爱爱医医学网



腓骨错位手法复位 第1页 一起扣扣网



腓骨骨折 第1页 图说健康



术后康复 相信我 还你一个能滑雪的冬季 优复门诊up Clinic



腓骨骨折图片 第1页 图说健康


左胫腓骨骨折切开复位内固定1例 医联



12 05 26左腓骨骨折 貪玩玩斷左腓骨 打了鋼釘要休養三個月 今年的夏天結束了 Yaping Flickr


胫腓骨骨折ct图片 第1页 要无忧健康图库


胫腓骨骨折 医联


儿童腓骨图片 第1页 要无忧健康图库



腓骨骨折 胫腓骨骨折 胫腓骨骨折分型 胫腓骨骨折手法复位 Www Dingjisc Com


双侧跟骨骨折 左腓骨骨折 医联



胫骨粉碎性骨折有可能完全恢复正常吗 知乎



疾病详情 疾病 人卫临床助手 人民卫生出版社


一个切口处理股骨干 胫腓骨骨折 甘肃省中医院



案例 踝关节骨折 外踝远端腓骨骨折 知乎



腓骨骨折的这100多天 知乎



左胫腓骨骨折护理查房ppt下载 Ppt模板 爱问共享资料



胫腓骨远端骨折钢板螺丝钉内固定术 骨科与显微外科专业讨论版 爱爱医医学论坛


左腓骨远端骨折 虾米图客



Nba 鵜鶘防守悍將t 艾倫左腓骨骨折預計缺席3到4週 自由體育



埃德 戴维斯 我是在与科里 约瑟夫的碰撞中受伤的 虎扑nba新闻


左胫腓骨骨折左足多发骨折 医联



胫腓骨开放骨折外固定支架治疗一例 病例中心 诊疗助手 爱爱医医学网



腓骨骨折 第1页 图说健康



左大腿骨骨折 小腿胫腓骨骨折打的钢针现在术后一个月应当如何护理平时应注意什么 知乎


骨折后恢复 脚踝骨折恢复 骨折恢复训练 骨折恢复时间


一腓骨外踝骨折病例 处理是否得当 疾病分享 快速问医生



骨裂x光 轻微骨裂怎么治疗 轻微骨裂的症状 轻微骨裂有什么感觉



微博搜索


钢板外置治疗胫骨远端骨感染3例 太原长城骨伤手外科医院 微信公众号文章阅读 Wemp


左胫腓骨骨折左足多发骨折 医联



左胫骨上段骨折图片 第1页 图说健康



一例严重的胫腓骨远端粉碎骨折


我们的微创之路 胫腓骨骨折微创经皮钢板内固定 Mpo 术 骨二科



左脚腓骨骨折图片 第1页 图说健康



脛骨及腓骨骨折 物理治療 診療服務 Centre Of Rehabilitation Exercising Specialist 健衡物理治療及專項訓練中心


左胫腓骨骨折左足多发骨折 医联


胫腓骨骨折 医联


小腿腓骨骨折修复动画 打钢钉上支架一气呵成 爱言情



骨裂x光 轻微骨裂怎么治疗 轻微骨裂的症状 轻微骨裂有什么感觉



分享30岁大叔腓骨骨折经历 还在休养中 后期持续更新 知乎


高处坠落致左胫腓骨骨折 医联



一例严重的胫腓骨远端粉碎骨折


腓骨骨折 胫腓骨骨折 胫腓骨骨折分型 胫腓骨骨折手法复位 Www Dingjisc Com



胫腓骨骨折康复训练图 搜狗图片搜索



腓骨骨裂图 第1页 图说健康



脛骨及腓骨骨折 物理治療 診療服務 Centre Of Rehabilitation Exercising Specialist 健衡物理治療及專項訓練中心


儿童胫腓骨骨折的治疗 健康号 微医



腓骨骨折 第1页 图说健康



骨折概论 Pdf 免费下载
0 件のコメント:
コメントを投稿